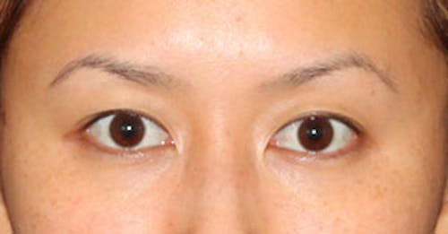
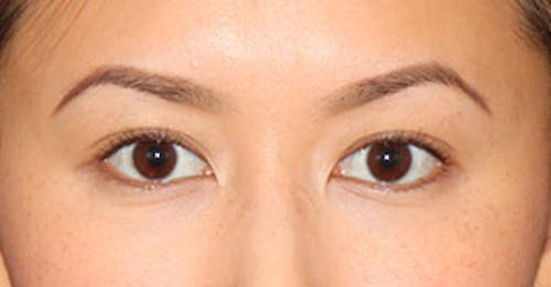
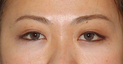
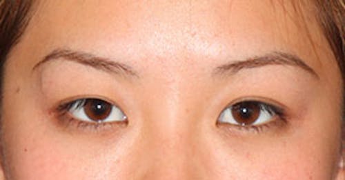
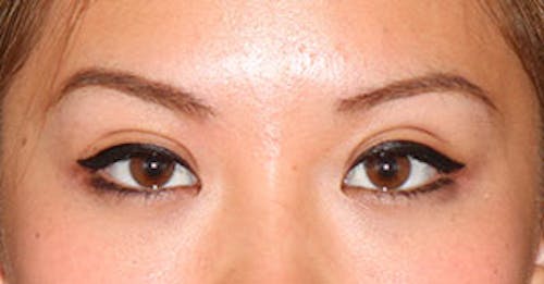
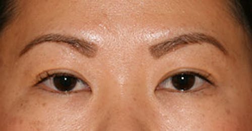
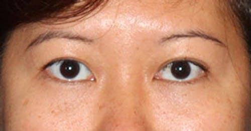
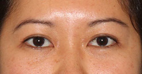
Many people of Asian descent have inherited eyelids lacking a natural crease. Similar to a traditional eyelid surgery, Asian eyelid surgery is a customized procedure that can be performed to enhance the appearance and shape of your eyes, creating a “double eyelid.” As experts in this custom surgery, our surgical team at SVIA® is passionate about delivering a truly unique and personalized aesthetic experience. We are known for performing these procedures with ultimate skill.
Premier Sacramento plastic surgeons forAsian eyelid surgery: SVIA®
SVIA® was founded by board-certified, aesthetic fellowship-trained plastic surgeons, Dr. Jerome Liu, and Dr. Tom Liu. Achieve your cosmetic goals and enjoy renewed confidence with a customized Asian eyelid surgery. Reveal more of your eyes, transforming them to have a beautiful almond-shape, or remove any excess fat or skin affecting the upper lid. These surgeries are performed with precision to achieve a look that is both natural and elegant.

The journey to confidence starts at SVIA®.
The surgery is performed with local anesthesia and intravenous sedation for your total comfort. You can expect it to take about one hour to complete. Whether you need to deepen an existing crease, create a double crease, or create a more attractive eye shape, we have the most advanced surgical techniques at our fingertips, including an advanced “no-incision” technique when appropriate.
Why choose SVIA for Asian eyelid surgery in Sacramento?
We deliver an aesthetic concierge experience with patient-centric, personalized care. We are driven to exceed the highest standards of plastic surgery care in an ethical, individualized, and conscientious manner.
For a world-class experience and exceptional results in Asian eyelid surgery, we invite you to meet with us, and discover a practice that is powered by a genuine passion for aesthetics, and built on the foundations of excellence, integrity, and service.
FAQ
Asian Eyelid Surgery
What is Asian eyelid surgery, and what are its goals?
What is the recovery process like after Asian eyelid surgery?
How long does the Asian eyelid surgery procedure take, and what anesthesia is used?
What techniques are used for Asian eyelid surgery, and how are they selected?
Who is a suitable candidate for Asian eyelid surgery at SVIA?
What is Asian eyelid surgery, and what are its goals?
Asian eyelid surgery, or double eyelid surgery, is a customized procedure to create or enhance an upper eyelid crease for those without a natural fold. It aims to make eyes appear larger, more alert, and almond-shaped by reducing eyelid size, removing excess fat or skin, and forming a natural-looking crease while preserving ethnic identity.
What is the recovery process like after Asian eyelid surgery?
Recovery is generally comfortable, with initial bruising and swelling subsiding within a few days. Patients should avoid sun exposure, eye impact, and strenuous activities like exercise for two to three weeks until incisions heal. The surgical team provides close monitoring and personalized care throughout recovery.
How long does the Asian eyelid surgery procedure take, and what anesthesia is used?
The procedure typically takes about one hour and is performed using local anesthesia with intravenous sedation to ensure patient comfort.
What techniques are used for Asian eyelid surgery, and how are they selected?
Techniques include incisional methods to remove excess fat and skin or a 'no-incision' suture technique for select patients. The choice is based on the patient’s eye structure, desired outcome, and the surgeon’s evaluation during a consultation to create a tailored surgical plan.
Who is a suitable candidate for Asian eyelid surgery at SVIA?
Ideal candidates are individuals of Asian descent with shallow or absent eyelid folds, excess inner eyelid skin, or uneven folds, who are in good health and have realistic expectations. The procedure is customized to enhance natural features while maintaining cultural identity, determined after a thorough consultation.

















